Crown Gigi Terbaik & Terdekat Jakarta
di Klinik Utama Pondok Gigi
Sedang mencari layanan crown gigi terbaik dan terdekat di Jakarta? Klinik Utama Pondok Gigi hadir dengan crown gigi berkualitas tinggi untuk memperbaiki fungsi sekaligus estetika gigi Anda. Dengan dukungan dokter gigi berpengalaman, teknologi modern, serta pilihan crown mulai dari PFM (Porcelain Fused to Metal), Ceramic, hingga Zirconia), kami memastikan hasil yang kuat, natural, dan tahan lama. Klinik kami berlokasi strategis di Jakarta Selatan, sehingga mudah dijangkau oleh pasien dari berbagai wilayah Jakarta.
Thank you for reading this post, don't forget to subscribe!
Apa Itu Crown Gigi ?
Crown gigi, atau sering disebut juga mahkota gigi tiruan, adalah sebuah lapisan berbentuk seperti topi yang dibuat khusus untuk menutupi seluruh permukaan gigi mulai dari bagian atas hingga batas gusi. Fungsi utamanya adalah untuk mengembalikan kekuatan, bentuk, ukuran, fungsi kunyah, serta penampilan gigi yang sudah tidak bisa diperbaiki hanya dengan tambalan biasa.
Berbeda dengan tambalan yang hanya menutup sebagian kecil gigi, crown gigi melindungi seluruh bagian gigi. Inilah sebabnya perawatan ini menjadi pilihan dokter gigi untuk gigi yang sudah rapuh, patah, atau rusak parah sehingga tidak lagi kuat digunakan dalam aktivitas sehari-hari.
Crown gigi dibuat dari bahan khusus yang aman, tahan lama, dan bisa disesuaikan dengan warna gigi asli pasien. Dengan begitu, hasilnya akan terlihat sangat natural dan tidak mudah dibedakan dari gigi asli.
Selain itu, crown gigi juga sering digunakan sebagai penyangga untuk perawatan lain, misalnya:
Sebagai penopang gigi palsu bridge.
Untuk menutup gigi setelah perawatan saluran akar (PSA).
Sebagai solusi estetika untuk memperbaiki bentuk gigi yang jelek atau berubah warna parah.
Dokter Gigi Terbaik & Profesional yang Menangani Crown Gigi di Klinik Utama Pondok Gigi
Crown gigi di Klinik Gigi Terbaik Jakarta Pondok Gigi ditangani oleh dokter gigi terbaik dan profesional yang memiliki pengalaman luas dalam perawatan restorasi gigi. Dengan keahlian khusus di bidang pemasangan crown PFM, ceramic, hingga zirconia, tim dokter kami mengutamakan presisi, kenyamanan, dan hasil estetik yang natural. Didukung teknologi modern serta standar perawatan tinggi, setiap pasien mendapatkan solusi yang aman, tahan lama, dan sesuai kebutuhan
DRG. ANDREAS
DRG. DANI AYU CHAHYAWATI
DRG. ZULKARNAEN DWI PRASETYO
Ahli dalam merancang dan memasang crown gigi dengan presisi tinggi. Dengan pengalaman sebagai spesialis prostodonsia, drg. Andreas Sp. Pros memastikan setiap pasien mendapatkan mahkota gigi yang kuat, fungsional, dan estetik alami.
Berikut Jadwal Praktek drg. Andreas Sp. Pros :
| Hari | Jam | Tempat |
| Senin | 15:00 – 20:00 | Klinik Utama Pondok Gigi Jakarta |
| Rabu | 15:00 – 20:00 |
Konsultasikan kebutuhan crown gigi Anda bersama tim dokter berpengalaman di Klinik Utama Pondok Gigi Jakarta untuk mendapatkan solusi terbaik, aman, dan berkualitas.
Drg. Dani Ayu Chahyawati, berpengalaman dalam menangani restorasi gigi, termasuk pemasangan crown gigi untuk memperbaiki gigi rapuh, patah, maupun pasca perawatan saluran akar. Dikenal teliti dan komunikatif dalam memberikan solusi terbaik bagi pasien.
Berikut Jadwal Praktek Drg. Dani Ayu Chahyawati :
| Hari | Jam | Tempat |
| Senin | 10:00 – 15:00 | Klinik Utama Pondok Gigi Jakarta |
| Selasa | 10:00 – 15:00 | |
| Jum’at | 15:00 – 20:00 |
Konsultasikan kebutuhan crown gigi Anda bersama tim dokter berpengalaman di Klinik Utama Pondok Gigi Jakarta untuk mendapatkan solusi terbaik, aman, dan berkualitas
Drg. Zulkarnain Dwi Prasetyo fokus pada perawatan gigi restoratif dengan keahlian dalam pemasangan crown PFM, ceramic, hingga zirconia. Mengutamakan kenyamanan pasien dan hasil yang tahan lama, sehingga fungsi kunyah maupun estetika gigi kembali maksimal.
Berikut Jadwal Praktek Drg. Zulkarnain Dwi Prasetyo :
| Hari | Jam | Tempat |
| Selasa | 10:00 – 15:00 | Klinik Utama Pondok Gigi Jakarta |
| Rabu | 15:00 – 20:00 | |
| Kamis | 15:00 – 20:00 | |
| Sabtu | 10:00 – 15:00 |
Konsultasikan kebutuhan crown gigi Anda bersama tim dokter berpengalaman di Klinik Utama Pondok Gigi Jakarta untuk mendapatkan solusi terbaik, aman, dan berkualitas.
5M Fungsi Utama Crown Gigi
01
Melindungi Gigi Rapuh
Gigi yang sudah patah, retak, atau rapuh akibat karies besar, benturan, atau setelah perawatan saluran akar biasanya rentan pecah jika hanya dibiarkan. Crown gigi berfungsi sebagai pelindung menyeluruh yang menutup seluruh permukaan gigi sehingga mencegah kerusakan tambahan. Dengan crown, gigi rapuh bisa tetap dipertahankan dan tidak perlu dicabut.
04
Mencegah Gigi Alami Semakin Rusak
Setelah perawatan saluran akar (PSA), gigi biasanya lebih rapuh karena kehilangan suplai saraf dan nutrisi. Tanpa perlindungan, gigi bisa mudah patah. Crown berfungsi sebagai perisai yang menutup rapat gigi tersebut agar tidak terjadi kerusakan baru. Dengan begitu, gigi asli tetap bertahan lebih lama.
02
Mengembalikan Kekuatan Mengunyah
Pasien dengan gigi rusak sering merasa tidak nyaman saat mengunyah, bahkan menghindari makanan keras. Dengan pemasangan crown, gigi kembali kuat dan stabil, sehingga fungsi kunyah dapat pulih normal. Hal ini penting bukan hanya untuk kenyamanan makan, tetapi juga untuk menjaga pencernaan karena makanan bisa dikunyah lebih sempurna.
03
Memperbaiki Penampilan Gigi dan Senyum
Crown juga memiliki fungsi estetika. Warna, bentuk, dan ukuran crown bisa disesuaikan dengan gigi asli, sehingga hasilnya tampak alami. Crown sering dipilih untuk pasien yang ingin memperbaiki:
Gigi yang berubah warna permanen.
Gigi yang bentuknya tidak proporsional.
Gigi depan yang patah atau aus.
Dengan crown, senyum pasien menjadi lebih rapi, putih, dan menambah rasa percaya diri.
05
Menjadi Penyangga untuk Dental Bridge
Jika ada gigi yang hilang, dokter gigi biasanya membuat bridge (jembatan gigi tiruan) untuk menggantinya. Bridge membutuhkan penyangga dari gigi sebelahnya. Dalam hal ini, crown dipasang pada gigi penyangga tersebut agar bridge bisa kokoh, stabil, dan tahan lama.
Jenis-Jenis Crown Gigi
Di Klinik Utama Pondok Gigi Jakarta, kami menghadirkan pilihan 3 jenis crown gigi terbaik yang aman, tahan lama, dan sesuai standar internasional. Setiap jenis crown dirancang untuk menjawab kebutuhan berbeda, baik dari segi kekuatan maupun estetika, sehingga pasien bisa mendapatkan hasil yang sesuai dengan kondisi gigi dan keinginannya.
01
Porcelain Fused to Metal (PFM)
Bahan: Kombinasi logam pada bagian dalam dan porselen pada bagian luar.
Kelebihan:
- Sangat kuat menahan tekanan kunyah.
- Umur pakai cukup panjang (5–10 tahun, bisa lebih dengan perawatan baik).
- Lebih ekonomis dibanding crown berbahan keramik penuh atau zirconia.
Kekurangan:
- Estetika kurang natural, terutama bila dipasang di gigi depan.
- Seiring waktu, bisa muncul garis hitam di tepi gusi karena logam di dalam.
Ideal untuk: Gigi belakang yang membutuhkan kekuatan ekstra.
Cocok bagi pasien: Yang mengutamakan fungsi dan daya tahan dengan biaya lebih terjangkau.
02
Ceramic
Bahan: 100% keramik tanpa campuran logam.
Kelebihan:
- Estetika sangat natural, hampir tidak bisa dibedakan dari gigi asli.
- Tidak menimbulkan garis hitam di gusi.
- Aman bagi pasien yang alergi logam.
Kekurangan:
Kekuatan lebih rendah dibanding zirconia, sehingga tidak direkomendasikan untuk gigi belakang dengan beban kunyah berat.
Ideal untuk: Gigi depan yang terlihat jelas saat tersenyum atau berbicara.
Umur pakai: Rata-rata 5–10 tahun, tergantung kebersihan mulut dan perawatan.
Cocok bagi pasien: Yang mengutamakan estetika dan tampilan natural.
03
Zirconia
Bahan: Zirconium dioxide, material keramik modern dengan kekuatan mendekati logam.
Kelebihan:
- Sangat kuat dan tahan lama (umumnya 10–15 tahun atau lebih).
- Estetika tinggi, tampak natural seperti gigi asli.
- Biokompatibel, aman untuk gusi dan tidak menimbulkan reaksi alergi.
- Cocok untuk semua posisi gigi, baik depan maupun belakang.
Kekurangan:
Biaya lebih tinggi dibanding PFM dan ceramic.
Ideal untuk: Pasien yang menginginkan kombinasi kekuatan + estetika premium.
Cocok bagi pasien: Yang ingin hasil tahan lama sekaligus tampilan gigi indah.
Proses Pemasangan Crown Gigi di Klinik Terbaik Utama Pondok Gigi Jakarta
Proses pemasangan crown gigi di Klinik Utama Pondok Gigi Jakarta dilakukan secara teliti oleh dokter berpengalaman menggunakan bahan zirconia dan porselen berkualitas tinggi. Hasilnya kuat, alami, dan nyaman digunakan, menjadikan Klinik Utama Pondok Gigi pilihan terbaik untuk perawatan crown gigi di Jakarta.
01
Konsultasi & Pemeriksaan Awal
Dokter gigi akan melakukan pemeriksaan menyeluruh pada kondisi gigi pasien.
Jika diperlukan, dilakukan rontgen gigi untuk melihat struktur akar dan tulang pendukung.
Pada tahap ini dokter juga menjelaskan kondisi gigi pasien, manfaat crown, jenis crown yang tersedia (PFM, Ceramic, atau Zirconia), serta estimasi waktu perawatan.
02
Persiapan Gigi
Bagian gigi yang akan dipasangi crown dikikis sedikit untuk memberikan ruang agar crown dapat menempel dengan pas.
Jika gigi terlalu rapuh atau sudah banyak tambalan, dokter akan melakukan build-up menggunakan bahan khusus untuk memperkuat gigi sebelum dipasangi crown.
Tahap ini bertujuan agar crown memiliki pegangan kuat dan tidak mudah lepas.
03
Cetakan atau Digital Scan
- Dokter mengambil cetakan manual menggunakan bahan khusus, atau melakukan digital intraoral scan untuk hasil yang lebih presisi.
- Data cetakan ini dikirim ke laboratorium gigi untuk membuat crown permanen sesuai dengan ukuran, bentuk, dan warna gigi pasien.
- Proses pembuatan crown biasanya memakan waktu beberapa hari hingga 1 minggu.
04
Pemasangan Crown Sementara
- Selama menunggu crown permanen selesai dibuat, pasien akan dipasangi crown sementara.
- Crown ini melindungi gigi dari kerusakan lebih lanjut, menjaga fungsi kunyah, dan tetap memberikan estetika sementara.
- Dokter juga memastikan crown sementara tidak mengganggu aktivitas harian pasien.
05
Pemasangan Crown Permanen
- Setelah crown permanen selesai dibuat, pasien kembali ke klinik untuk pemasangan.
- Crown dipasang dengan semen/perekat gigi khusus yang kuat dan aman.
- Dokter memastikan gigitan pasien pas dan nyaman, serta warna crown menyatu dengan gigi alami.
- Jika diperlukan, dilakukan sedikit penyesuaian agar hasilnya maksimal.
06
Kontrol & Edukasi Pasca Pemasangan
- Pasien dianjurkan untuk kontrol secara berkala agar crown tetap dalam kondisi optimal.
- Dokter memberikan edukasi cara merawat crown, seperti menjaga kebersihan mulut, menghindari menggigit benda keras, dan menjaga pola makan yang sehat.
- Pasien diingatkan untuk tidak menggigit benda keras (es batu, pensil, kuku) dan mengurangi konsumsi makanan yang terlalu lengket agar crown lebih awet.
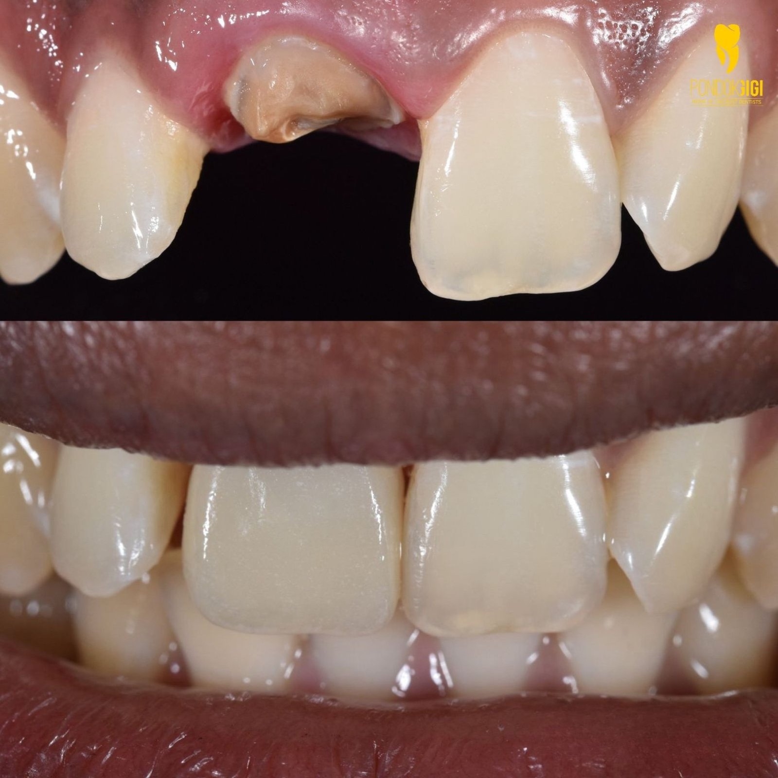
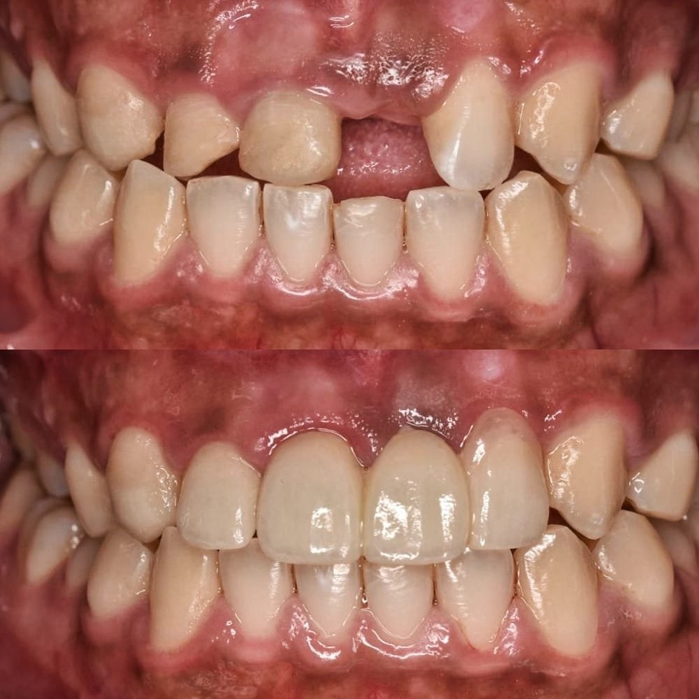
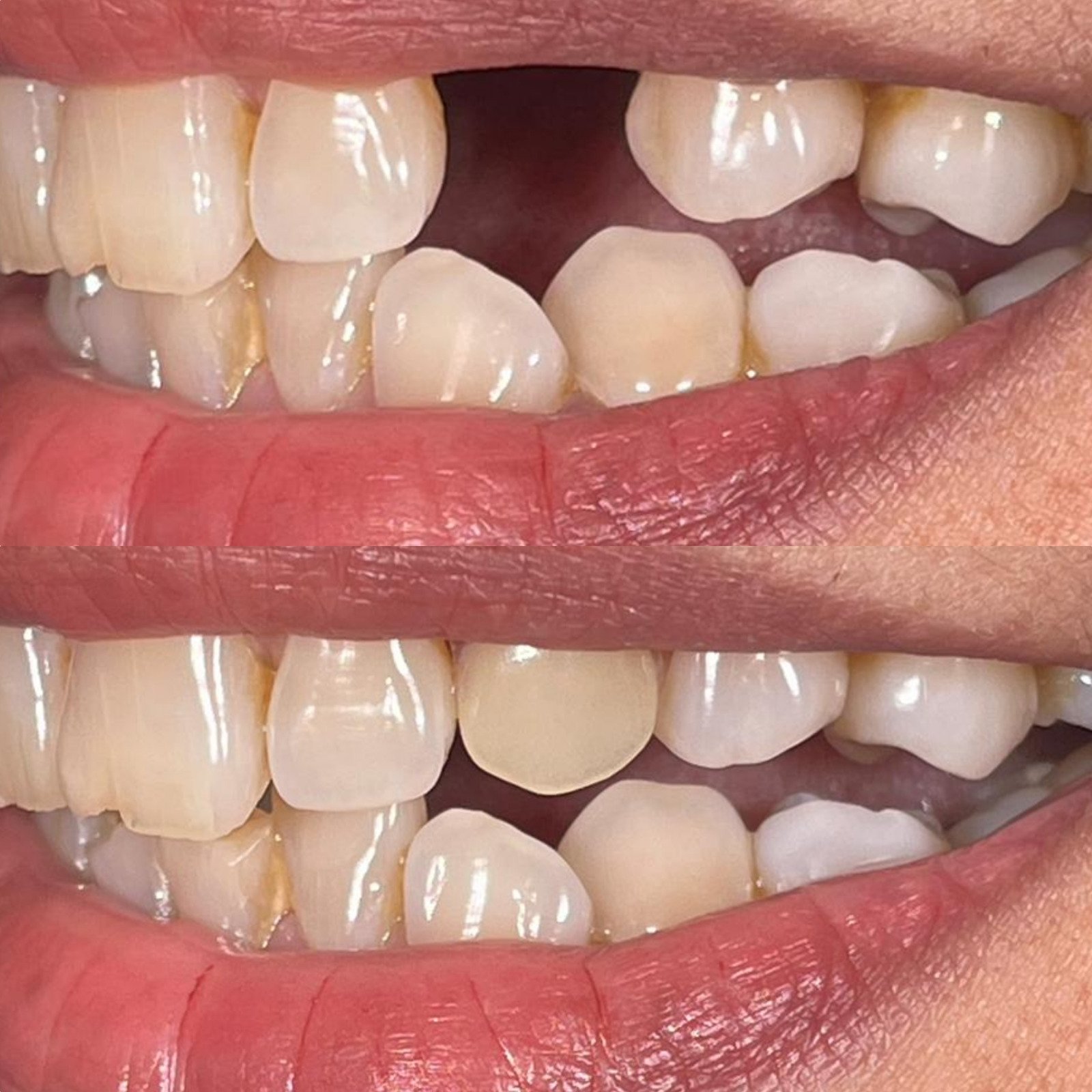
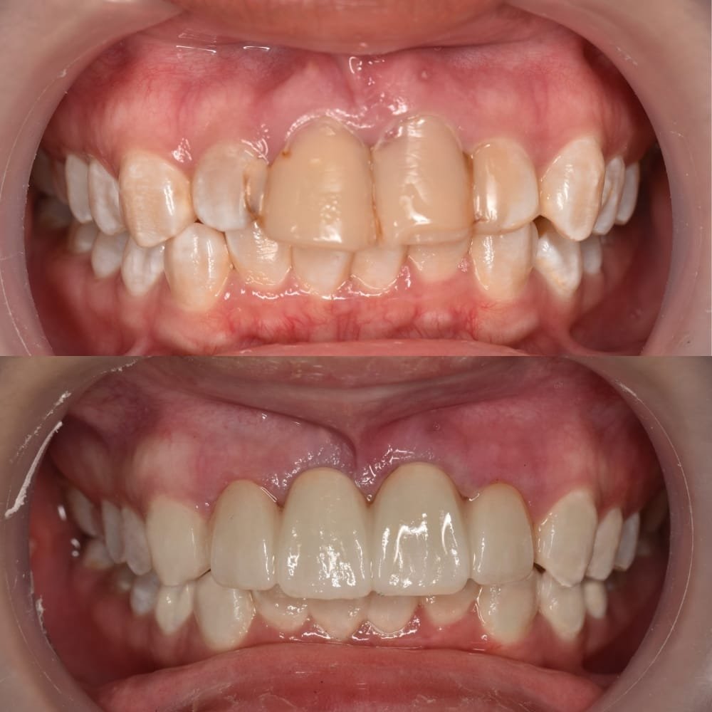
Before After Crown Gigi di Klinik Utama Pondok Gigi Jakarta
Perawatan crown gigi di Klinik Utama Pondok Gigi Jakarta mampu memperbaiki bentuk dan warna gigi yang rusak sehingga tampil lebih rapi, kuat, dan alami. Dengan bahan berkualitas dan teknik modern, hasil akhirnya terlihat menyatu sempurna dengan gigi asli serta meningkatkan kepercayaan diri pasien.







Kenapa Harus Pasang Crown Gigi di Klinik Utama Pondok Gigi Jakarta
Memilih tempat yang tepat untuk pemasangan crown gigi sangat penting karena berhubungan langsung dengan kenyamanan, kekuatan, dan estetika gigi Anda dalam jangka panjang. Klinik Utama Pondok Gigi Jakarta hadir sebagai salah satu klinik gigi terbaik dengan layanan crown gigi berkualitas premium, ditangani langsung oleh dokter gigi profesional berpengalaman.
Berikut alasan mengapa banyak pasien mempercayakan perawatan crown gigi di Klinik Utama Pondok Gigi:
- Menggunakan bahan crown berkualitas
- Proses Crown 3-4 hari sudah terpasang
- Kualitas crown yang kuat & tahan lama
- Menggunakan teknologi tanpa cetak gigi
- Tersedia berbagai jenis crown gigi
- Biaya pasang crown gigi yang terjangkau
- Tim Dokter Gigi yang berpengalaman
- Pelayanan ramah, cepat, komunikatif
- Klinik Pondok Gigi sudah beroperasi selama 10 tahun
- Menerima pembayaran tunai, cashless, dan asuransi
- Lokasi klinik gigi yang mudah dijangkau
Apa Kata Pasien Setelah Perawatan di Klinik Utama Pondok Gigi Jakarta
Beragam cerita kepuasan dari pasien yang telah merasakan perawatan gigi modern, nyaman, dan profesional di Klinik Terbaik Pondok Gigi Jakarta.
assha grangerTrustindex memverifikasi bahwa sumber asli ulasan adalah Google. Tempatnya bersih dan pelayanannya baik Wikan SinatrioTrustindex memverifikasi bahwa sumber asli ulasan adalah Google. Pelayanannya cepat dan tempatnya bersih Nadia KarimaTrustindex memverifikasi bahwa sumber asli ulasan adalah Google. Baik banget para dokternya, informatif, pelayanan front desknya juga oke banget vinta berlianaTrustindex memverifikasi bahwa sumber asli ulasan adalah Google. best experience with Drg Dani n team 🫶 Wartini DimanTrustindex memverifikasi bahwa sumber asli ulasan adalah Google. Dokternya baik dan ramah rafael davinTrustindex memverifikasi bahwa sumber asli ulasan adalah Google. Bagus banget scaling disini Aloysius DimasTrustindex memverifikasi bahwa sumber asli ulasan adalah Google. great experience!! Selalu cek gigi kesini dan tempatnya nyaman dan bersih JPRMI Jakarta Selatan TVTrustindex memverifikasi bahwa sumber asli ulasan adalah Google. Dr Gita ramah, overall ok Adam FirmansyahTrustindex memverifikasi bahwa sumber asli ulasan adalah Google. Pelayanan okee, bersih, akses mudah, rekomendasi untuk permasalahan gigiDiverifikasi oleh TrustindexLencana verifikasi Trustindex adalah Simbol Universal Kepercayaan. Hanya perusahaan terbaik yang dapat memperoleh lencana terverifikasi dengan skor ulasan di atas 4.5, berdasarkan ulasan pelanggan selama 12 bulan terakhir. Baca lebih lanjut
Titik Lokasi Klinik Utama Pondok Gigi Jakarta
Temukan Kami di Sini
Jl. Pangeran Antasari No.20B, RT.13/RW.2, Cipete Sel., Kec. Cilandak, Kota Jakarta Selatan, Daerah Khusus Ibukota Jakarta 12410
Ig: @pondokgigi
Wa Admin: 087777006161/081232066161
Jam Buka
| Hari | Waktu |
| Senin s/d Sabtu | 10:00 – 20:00 WIB |
| Minggu | 09:00 – 15:00 WIB |
FAQ: Pertanyaan yang Sering Diajukan Seputar Crown Gigi
Crown gigi adalah pelindung berbentuk “mahkota” yang dipasang di atas gigi asli untuk memperkuat struktur dan memperbaiki tampilan gigi yang rusak. Prosedur ini sering dilakukan di Klinik Utama Pondok Gigi Jakarta untuk mengembalikan fungsi gigi agar kembali optimal dan estetik.
Crown dibutuhkan ketika gigi mengalami kerusakan besar akibat karies, patah, setelah perawatan saluran akar, atau perubahan bentuk yang parah. Dokter akan merekomendasikan crown jika tambalan biasa sudah tidak cukup melindungi struktur gigi.
Tidak. Seluruh proses dilakukan dengan anestesi lokal, sehingga pasien tidak merasakan nyeri. Setelah prosedur, rasa ngilu ringan bisa muncul sementara dan akan hilang dalam beberapa hari.
Dengan perawatan baik, crown gigi dapat bertahan 10–15 tahun, bahkan lebih lama tergantung bahan dan kebersihan mulut pasien. Kontrol rutin di Klinik Utama Pondok Gigi Jakarta membantu menjaga daya tahannya.
Beberapa jenis crown yang umum digunakan:
Crown logam penuh: kuat dan tahan lama, cocok untuk gigi belakang.
Crown porselen: tampak alami, cocok untuk gigi depan.
Crown zirconia: perpaduan kekuatan dan estetika terbaik.
Crown PFM (Porcelain Fused to Metal): bagian dalam logam, luar porselen, kuat dan tetap estetik.
Ya. Crown porselen dan zirconia memiliki warna serta kilau yang sangat mirip dengan gigi alami. Dokter di Klinik Utama Pondok Gigi Jakarta juga menyesuaikan bentuk dan warna agar menyatu sempurna dengan senyum pasien.
Crown menutupi seluruh permukaan gigi, sedangkan veneer hanya menempel di bagian depan. Veneer lebih untuk estetika, sementara crown digunakan untuk memperkuat dan melindungi gigi yang rusak.
Tidak selalu. Jika struktur gigi atau akar sudah sangat rapuh, dokter mungkin menyarankan perawatan lain seperti implan gigi. Pemeriksaan awal di Klinik Utama Pondok Gigi penting untuk menentukan kelayakan pemasangan crown.
Crown bisa lepas bila semen perekat melemah atau terjadi tekanan berlebih saat mengunyah benda keras. Namun, kondisi ini jarang jika dipasang dengan teknik yang benar dan dilakukan kontrol rutin.
Crown bisa lepas bila semen perekat melemah atau terjadi tekanan berlebih saat mengunyah benda keras. Namun, kondisi ini jarang jika dipasang dengan teknik yang benar dan dilakukan kontrol rutin.
Crown porselen dan zirconia umumnya tahan noda, namun konsumsi kopi, teh, atau rokok berlebihan bisa membuatnya tampak kusam. Perawatan rutin di klinik akan membantu menjaga warna tetap cerah.
Tergantung tingkat kerusakannya. Retak kecil bisa diperbaiki, namun jika patah atau longgar, biasanya dokter menyarankan penggantian baru agar hasil tetap kuat dan aman.
Biasanya membutuhkan dua kali kunjungan. Kunjungan pertama untuk preparasi gigi dan pencetakan, dan kunjungan kedua untuk pemasangan crown permanen.
Bisa, tapi sebaiknya hindari makanan keras atau lengket selama beberapa hari pertama agar perekat crown menempel sempurna.
Tergantung jenis asuransi yang digunakan. Beberapa asuransi menanggung perawatan restoratif seperti crown gigi dengan syarat tertentu. Sebaiknya konsultasikan terlebih dahulu dengan pihak asuransi dan Klinik Utama Pondok Gigi.
Ya, justru sangat disarankan. Setelah perawatan saluran akar, struktur gigi biasanya lebih rapuh, sehingga crown berfungsi melindungi gigi agar tidak retak atau patah.
Segera datang ke Klinik Utama Pondok Gigi Jakarta. Jangan mencoba menempelkannya sendiri karena bisa menyebabkan infeksi atau kerusakan tambahan.
Biaya pemasangan crown gigi di Jakarta bervariasi tergantung jenis bahan yang digunakan. Umumnya berkisar antara:
Crown logam atau PFM (Porcelain Fused to Metal): Rp 1.000.000 – Rp 4.000.000 per gigi
Crown porselen penuh (All Porcelain): Rp 3.500.000 – Rp 8.000.000 per gigi
Crown zirconia: Rp 4.000.000 – Rp 5.000.000 ke atas
Untuk hasil estetik terbaik dan ketahanan maksimal, banyak pasien memilih crown zirconia di Klinik Utama Pondok Gigi Jakarta karena hasilnya menyerupai gigi asli dan tahan lama.
Klinik Utama Pondok Gigi Jakarta adalah pilihan terbaik untuk perawatan crown gigi. Dengan dokter berpengalaman, bahan berkualitas, dan hasil estetik alami, pasien mendapatkan kenyamanan dan hasil maksimal.
Perubahan besar dimulai dari senyum kecil Anda
Setiap senyum kecil bisa membawa perubahan besar. Bersama Pondok Gigi, wujudkan senyum sehat dan percaya diri