Perawatan Saluran Akar Gigi Terbaik &
Terdekat Jakarta di Klinik Utama Pondok Gigi
Perawatan saluran akar gigi terbaik dan terdekat di Jakarta hanya di Klinik Utama Pondok Gigi. Dikerjakan oleh dokter gigi profesional dengan peralatan modern, prosedur aman dan nyaman, serta hasil maksimal untuk mengatasi infeksi dan nyeri hingga tuntas.
Thank you for reading this post, don't forget to subscribe!Apa Itu Perawatan Saluran Akar Gigi ?
Perawatan saluran akar gigi atau dikenal juga dengan Root Canal Treatment (RCT) adalah tindakan medis untuk mengatasi infeksi atau peradangan pada bagian dalam gigi (pulpa). Pulpa merupakan jaringan lunak yang berisi saraf dan pembuluh darah, berfungsi untuk menutrisi dan memberi sensasi pada gigi.
Ketika pulpa terinfeksi akibat karies gigi yang dalam, benturan keras, tambalan bocor, atau infeksi bakteri, pasien biasanya mengalami nyeri berdenyut, gigi sensitif terhadap panas atau dingin, serta pembengkakan pada gusi. Jika dibiarkan, infeksi ini bisa menyebar hingga ke tulang rahang dan menyebabkan kehilangan gigi.
Tujuan utama dari perawatan saluran akar gigi di Klinik Utama Pondok Gigi Jakarta adalah untuk menyelamatkan gigi asli pasien tanpa perlu dicabut, menghilangkan rasa sakit, dan mencegah infeksi kembali muncul di kemudian hari.
Dengan dukungan teknologi modern, mikroskop dental, dan sistem sterilisasi mutakhir, dokter gigi di Klinik Utama Pondok Gigi memastikan prosedur dilakukan secara akurat, aman, dan nyaman. Prosesnya juga dibantu dengan anestesi lokal, sehingga pasien hampir tidak merasakan nyeri selama tindakan.
Dokter Gigi Terbaik & Profesional yang Menangani Perawatan Saluran Akar Gigi di Klinik Utama Pondok Gigi
Percayakan perawatan saluran akar gigi Anda kepada dokter gigi terbaik dan profesional di Klinik Utama Pondok Gigi Jakarta. Kami menggunakan teknologi modern, prosedur steril, dan teknik terkini untuk mengatasi infeksi akar gigi dengan aman, nyaman, dan hasil maksimal.
DRG. ANDREAS
DRG. DANI AYU CHAHYAWATI
DRG. DIANTI SITI HARYANI. P
DRG. ZULKARNAEN DWI PRASETYO
DRG. GALIH FATA ANADZA
Ahli dalam menangani perawatan saluran akar gigi dengan ketelitian tinggi dan teknik endodontik modern. Dengan pengalaman luas di bidang konservasi gigi, drg. Andreas Sp. Pros memastikan setiap pasien mendapatkan penanganan yang efektif untuk mengatasi infeksi, nyeri, dan kerusakan saraf gigi hingga tuntas.
Berikut Jadwal Praktek drg. Andreas Sp. Pros :
| Hari | Jam | Tempat |
| Senin | 15:00 – 20:00 | Klinik Utama Pondok Gigi Jakarta |
| Rabu | 15:00 – 20:00 |
Konsultasikan kebutuhan crown gigi Anda bersama tim dokter berpengalaman di Klinik Utama Pondok Gigi Jakarta untuk mendapatkan solusi terbaik, aman, dan berkualitas.
Ahli dalam menangani perawatan saluran akar gigi dengan ketelitian tinggi dan teknik endodontik modern. Dengan pengalaman luas di bidang konservasi gigi, Drg. Dani Ayu Chahyawati memastikan setiap pasien mendapatkan penanganan yang efektif untuk mengatasi infeksi, nyeri, dan kerusakan saraf gigi hingga tuntas.
Berikut Jadwal Praktek Drg. Dani Ayu Chahyawati :
| Hari | Jam | Tempat |
| Senin | 10:00 – 15:00 | Klinik Utama Pondok Gigi Jakarta |
| Selasa | 10:00 – 15:00 | |
| Jum’at | 15:00 – 20:00 |
Konsultasikan kebutuhan perawatan saluran akar gigi Jakarta Anda bersama tim dokter berpengalaman di Klinik Utama Pondok Gigi Jakarta untuk mendapatkan solusi terbaik, aman, dan berkualitas dengan teknologi modern serta perawatan yang memprioritaskan kenyamanan pasien.
Ahli dalam menangani perawatan saluran akar gigi dengan ketelitian tinggi dan teknik endodontik modern. Dengan pengalaman luas di bidang konservasi gigi, Drg. Dianti Siti Haryani. P memastikan setiap pasien mendapatkan penanganan yang efektif untuk mengatasi infeksi, nyeri, dan kerusakan saraf gigi hingga tuntas.
Berikut Jadwal Praktek Drg. Dianti Siti Haryani. P :
| Hari | Jam | Tempat |
| Senin | 15:00 – 20:00 | Klinik Utama Pondok Gigi Jakarta |
Selasa | 10:00 – 15:00 | |
| 15:00 – 20:00 | ||
| Sabtu | 10:00 – 15:00 |
Konsultasikan kebutuhan crown gigi Anda bersama tim dokter berpengalaman di Klinik Utama Pondok Gigi Jakarta untuk mendapatkan solusi terbaik, aman, dan berkualitas.
Ahli dalam menangani perawatan saluran akar gigi dengan ketelitian tinggi dan teknik endodontik modern. Dengan pengalaman luas di bidang konservasi gigi, Drg. Zulkarnain Dwi Prasetyo memastikan setiap pasien mendapatkan penanganan yang efektif untuk mengatasi infeksi, nyeri, dan kerusakan saraf gigi hingga tuntas.
Berikut Jadwal Praktek Drg. Zulkarnain Dwi Prasetyo :
| Hari | Jam | Tempat |
| Selasa | 10:00 – 15:00 | Klinik Utama Pondok Gigi Jakarta |
| Rabu | 15:00 – 20:00 | |
| Kamis | 15:00 – 20:00 | |
| Sabtu | 10:00 – 15:00 |
Konsultasikan kebutuhan perawatan saluran akar gigi Jakarta Anda bersama tim dokter berpengalaman di Klinik Utama Pondok Gigi Jakarta untuk mendapatkan solusi terbaik, aman, dan berkualitas dengan teknologi modern serta perawatan yang memprioritaskan kenyamanan pasien.
Ahli dalam menangani perawatan saluran akar gigi dengan ketelitian tinggi dan teknik endodontik modern. Dengan pengalaman luas di bidang konservasi gigi, Drg. Galih Fata Anadza memastikan setiap pasien mendapatkan penanganan yang efektif untuk mengatasi infeksi, nyeri, dan kerusakan saraf gigi hingga tuntas.
Berikut Jadwal Praktek Drg. Galih Fata Anadza :
| Hari | Jam | Tempat |
| Kamis | 10:00 – 15:00 | Klinik Utama Pondok Gigi Jakarta |
| Jum’at | 10:00 – 15:00 | |
| Minggu | 10:00 – 15:00 |
Konsultasikan kebutuhan perawatan saluran akar gigi Jakarta Anda bersama tim dokter berpengalaman di Klinik Utama Pondok Gigi Jakarta untuk mendapatkan solusi terbaik, aman, dan berkualitas dengan teknologi modern serta perawatan yang memprioritaskan kenyamanan pasien.
Kapan Anda Membutuhkan Perawatan Saluran Akar Gigi?
Mengetahui kapan Anda membutuhkan perawatan saluran akar gigi sangat penting agar infeksi tidak semakin parah dan gigi masih dapat diselamatkan tanpa perlu dicabut. Prosedur ini biasanya direkomendasikan oleh dokter gigi ketika jaringan saraf atau pulpa di dalam gigi sudah mengalami peradangan, infeksi, atau kematian jaringan akibat bakteri yang masuk melalui lubang gigi atau trauma fisik. Ada beberapa tanda dan gejala yang bisa menjadi indikasi bahwa Anda memerlukan Root Canal Treatment (RCT), di antaranya:
01
Nyeri Berdenyut
Nyeri berdenyut yang tidak kunjung hilang meskipun sudah minum obat. Rasa sakit ini biasanya terasa terus-menerus, terutama saat malam hari, dan bisa menjalar hingga ke telinga, rahang, atau kepala. Kondisi ini menandakan adanya peradangan pada saraf gigi yang sudah cukup parah dan tidak bisa diatasi dengan obat biasa.
02
Gigi Sensitif
Gigi menjadi sangat sensitif terhadap suhu panas atau dingin. Saat Anda minum kopi panas atau air es, gigi terasa nyut-nyutan dan sensasinya bertahan lama walau suhu sudah kembali normal. Hal ini terjadi karena lapisan pelindung gigi (email dan dentin) sudah terkikis, sehingga rangsangan langsung mencapai saraf gigi.
03
Adanya Abses (Nanah)
Gusi bengkak di sekitar gigi tertentu. Bengkak ini bisa terasa lunak saat disentuh dan kadang muncul benjolan kecil seperti jerawat (fistula) yang dapat mengeluarkan nanah. Tanda ini menunjukkan bahwa infeksi sudah meluas hingga ke jaringan di sekitar akar gigi.
04
Perubahan Warna Gigi
Perubahan warna gigi menjadi keabu-abuan atau kehitaman. Ketika jaringan saraf di dalam gigi mati akibat infeksi, pigmen dari pembusukan jaringan dapat membuat gigi berubah warna. Ini merupakan salah satu tanda pasti bahwa gigi sudah kehilangan vitalitasnya.
05
Rasa Nyeri Saat Menggigit
Nyeri saat menggigit atau mengunyah makanan. Rasa nyeri terasa tajam ketika memberi tekanan pada gigi yang bermasalah. Biasanya, hal ini disebabkan oleh peradangan di ujung akar gigi yang membuat jaringan sekitar menjadi sensitif terhadap tekanan.
06
Rasa Nyeri Saat Menggigit
Adanya abses (nanah) di sekitar akar gigi. Abses merupakan tanda infeksi serius yang menyebabkan penumpukan cairan nanah di bawah gigi. Kondisi ini sering disertai dengan bau mulut tidak sedap, rasa tidak nyaman, hingga pembengkakan di pipi atau rahang bawah.
Proses Perawatan Saluran Akar Gigi di Klinik Utama Pondok Gigi Jakarta
Proses perawatan saluran akar gigi di Klinik Utama Pondok Gigi Jakarta dilakukan secara hati-hati, terukur, dan menggunakan teknologi modern agar hasilnya maksimal serta tetap nyaman bagi pasien. Setiap tahap dijalankan oleh dokter gigi berpengalaman dengan standar sterilisasi tinggi untuk mencegah infeksi ulang. Berikut tahapan lengkapnya:
01
Tahap Pemeriksaan dan Diagnosis Awal
Tahap pertama dimulai dengan pemeriksaan menyeluruh pada gigi dan jaringan sekitarnya. Dokter akan melakukan rontgen digital untuk melihat kondisi saluran akar, arah akar gigi, serta tingkat infeksi yang terjadi. Pemeriksaan ini membantu menentukan apakah saraf gigi masih bisa dipertahankan atau sudah perlu dilakukan perawatan saluran akar. Setelah itu, dokter akan menjelaskan rencana perawatan, estimasi waktu, serta hasil yang diharapkan kepada pasien secara transparan.
02
Pemberian Anestesi Lokal pada Pasien
Sebelum tindakan dimulai, pasien akan diberikan anestesi lokal agar tidak merasakan nyeri selama prosedur berlangsung. Klinik Utama Pondok Gigi menggunakan teknik anestesi modern yang cepat bekerja dan minim rasa tidak nyaman, sehingga proses dapat berjalan aman dan tenang bahkan bagi pasien yang memiliki ketakutan terhadap perawatan gigi.
03
Pembuangan Jaringan Pulpa yang Terinfeksi
Sebelum tindakan dimulai, pasien akan diberikan anestesi lokal agar tidak merasakan nyeri selama prosedur berlangsung. Klinik Utama Pondok Gigi menggunakan teknik anestesi modern yang cepat bekerja dan minim rasa tidak nyaman, sehingga proses dapat berjalan aman dan tenang bahkan bagi pasien yang memiliki ketakutan terhadap perawatan gigi.
04
Pembersihan dan Sterilisasi Saluran Akar
Langkah berikutnya adalah membersihkan dan mensterilkan saluran akar menggunakan cairan antiseptik khusus dan sistem rotari modern. Proses ini memastikan tidak ada sisa bakteri atau jaringan mati yang tertinggal. Di Klinik Utama Pondok Gigi, tahap sterilisasi dilakukan dengan pengawasan ketat menggunakan mikroskop dental, sehingga hasil pembersihan lebih presisi dan risiko infeksi ulang dapat diminimalkan.
05
Penutupan dengan Membersihkan Saluran Akar
Setelah saluran akar benar-benar bersih, area tersebut akan diisi dan ditutup rapat menggunakan bahan pengisi biokompatibel bernama gutta percha. Bahan ini berfungsi untuk menyegel ruang akar, mencegah masuknya kembali bakteri, serta memperkuat struktur dalam gigi. Penutupan dilakukan secara bertahap untuk memastikan tidak ada rongga udara yang tersisa.
06
Restorasi dan Pemasangan Crown (Bila Diperlukan)
Tahap terakhir adalah restorasi gigi. Jika struktur gigi yang dirawat sudah rapuh atau kehilangan banyak jaringan akibat infeksi, dokter akan menyarankan pemasangan crown (mahkota gigi) untuk melindungi gigi dan mengembalikan fungsi kunyah secara optimal. Crown juga membantu mempercantik tampilan gigi sehingga hasil akhir terlihat alami dan estetik.
Keunggulan Perawatan Saluran Akar Gigi di Klinik Utama Pondok Gigi Jakarta
Memilih tempat yang tepat untuk perawatan saluran akar gigi di Jakarta sangat penting agar hasilnya maksimal dan gigi tetap sehat dalam jangka panjang. Klinik Utama Pondok Gigi Jakarta hadir sebagai klinik gigi terbaik yang menawarkan pelayanan profesional dengan teknologi modern, prosedur aman, serta hasil perawatan yang tahan lama dan estetik. Berikut beberapa keunggulannya:
- Tim Dokter Gigi yang expert dalam merawat saluran akar gigi
- Menggunakan Mikroskop Dental dan Teknologi Modern
- Prosedur Steril, Aman, dan Nyaman
- Edukasi Lengkap Sebelum dan Sesudah Tindakan
- Tersedia PSA gigi hanya dengan 1x kunjungan selesai
- Proses perawatan saraf gigi yang cepat, aman, dan nyaman
- Tim Dokter Gigi yang berpengalaman
- Pelayanan ramah, cepat, komunikatif
- Klinik Pondok Gigi sudah beroperasi selama 10 tahun
- Menerima pembayaran tunai, cashless, dan asuransi
- Lokasi klinik gigi yang mudah dijangkau
Manfaat Perawatan Saluran Akar Gigi
Perawatan saluran akar gigi atau Root Canal Treatment (RCT) merupakan solusi efektif untuk menyelamatkan gigi yang mengalami infeksi atau kerusakan parah tanpa perlu dicabut. Dengan penanganan yang tepat di Klinik Utama Pondok Gigi Jakarta, pasien tidak hanya terbebas dari rasa sakit, tetapi juga dapat mempertahankan fungsi alami gigi untuk jangka panjang.
Berikut beberapa manfaat utama dari prosedur ini:
01
Menghilangkan Nyeri dan Infeksi
Salah satu manfaat terbesar dari perawatan saluran akar gigi adalah menghilangkan rasa sakit yang timbul akibat infeksi saraf. Setelah jaringan pulpa yang terinfeksi diangkat dan saluran akar dibersihkan, pasien akan merasakan perbaikan signifikan pada rasa nyeri, bengkak, dan sensitivitas. Prosedur ini juga menghentikan penyebaran bakteri yang dapat menyebabkan abses atau kerusakan tulang di sekitar akar gigi.
02
Menyelamatkan Gigi Alami
Daripada mencabut gigi dan memasang implan atau gigi palsu, Root Canal Treatment memungkinkan pasien mempertahankan gigi asli. Dengan perawatan yang baik, gigi yang telah menjalani RCT dapat bertahan bertahun-tahun, bahkan seumur hidup. Menjaga gigi asli berarti juga menjaga bentuk rahang, keseimbangan gigitan, dan estetika wajah secara alami.
03
Mengembalikan Fungsi Mengunyah
Setelah proses pembersihan dan restorasi selesai, gigi yang dirawat akan kembali berfungsi seperti semula. Pasien bisa mengunyah makanan dengan nyaman dan stabil tanpa rasa sakit. Bila perlu, pemasangan crown gigi dapat membantu memperkuat struktur gigi agar lebih tahan terhadap tekanan saat makan.
04
Mencegah Penyebaran Infeksi
Infeksi pada saraf gigi yang tidak segera ditangani bisa menyebar ke jaringan sekitarnya, termasuk gusi, tulang rahang, bahkan organ tubuh lain. Dengan melakukan perawatan saluran akar di Klinik Utama Pondok Gigi Jakarta, area infeksi dibersihkan hingga tuntas sehingga risiko penyebaran ke jaringan lain dapat dicegah secara efektif.
05
Meningkatkan Kepercayaan Diri
Selain menjaga kesehatan gigi, perawatan saluran akar juga membantu mempertahankan penampilan gigi yang utuh dan alami. Dengan tambahan restorasi atau crown, warna dan bentuk gigi dapat disesuaikan agar tampak serasi dengan gigi lainnya. Hasilnya, pasien bisa tersenyum lebih percaya diri tanpa khawatir gigi terlihat rusak atau berubah warna.
Perawatan Setelah Saluran Akar Gigi
Setelah menjalani perawatan saluran akar gigi, tahap pemulihan menjadi bagian penting untuk memastikan hasilnya bertahan lama dan gigi tetap kuat. Meskipun jaringan saraf yang terinfeksi sudah diangkat, gigi yang telah dirawat tetap memerlukan perhatian khusus agar tidak mengalami kerusakan kembali. Berikut beberapa panduan penting yang perlu dilakukan setelah prosedur:
01
Menghindari Makanan Keras untuk Sementara Waktu
Setelah tindakan, area gigi yang dirawat biasanya masih dalam proses adaptasi. Oleh karena itu, pasien dianjurkan untuk menghindari makanan keras, lengket, atau terlalu panas/dingin selama beberapa hari pertama. Pilih makanan lembut seperti bubur, sup, atau nasi lembek untuk mencegah tekanan berlebih pada gigi yang baru dirawat. Langkah sederhana ini membantu mencegah retak atau kerusakan tambahan pada struktur gigi.
02
Menjaga Kebersihan Gigi dan Mulut
Kebersihan rongga mulut menjadi kunci utama agar hasil Root Canal Treatment tetap optimal. Sikat gigi secara teratur dua kali sehari dengan gerakan lembut, dan gunakan benang gigi (dental floss) untuk membersihkan sela-sela gigi. Hindari menyikat terlalu keras di area yang baru dirawat agar jaringan sekitar tidak iritasi. Anda juga bisa menggunakan obat kumur antiseptik sesuai anjuran dokter untuk mencegah bakteri berkembang kembali.
03
Datang untuk Kontrol Sesuai Jadwal Dokter
Kontrol rutin sangat penting untuk memantau kondisi gigi pasca perawatan. Dokter gigi di Klinik Utama Pondok Gigi Jakarta akan memeriksa apakah proses penyembuhan berjalan normal dan memastikan tidak ada tanda-tanda infeksi lanjutan. Biasanya, kontrol pertama dilakukan dalam 1–2 minggu setelah tindakan, lalu diikuti pemeriksaan berkala sesuai kebutuhan pasien.
04
Melakukan Pemasangan Crown Bila Dianjurkan
Gigi yang sudah menjalani perawatan saluran akar cenderung menjadi lebih rapuh karena kehilangan jaringan pulpa di dalamnya. Untuk itu, dokter mungkin akan menyarankan pemasangan mahkota gigi (crown) agar struktur gigi kembali kuat dan mampu menahan tekanan saat mengunyah. Selain melindungi gigi dari keretakan, crown juga membantu mengembalikan tampilan estetik agar gigi terlihat alami dan rapi.
05
Segera Hubungi Dokter Jika Timbul Keluhan
Apabila muncul gejala seperti nyeri berulang, gusi bengkak, atau rasa tidak nyaman di sekitar gigi yang dirawat, segera konsultasikan kembali ke Klinik Utama Pondok Gigi Jakarta. Penanganan dini dapat mencegah komplikasi dan menjaga keberhasilan jangka panjang dari perawatan saluran akar Anda.
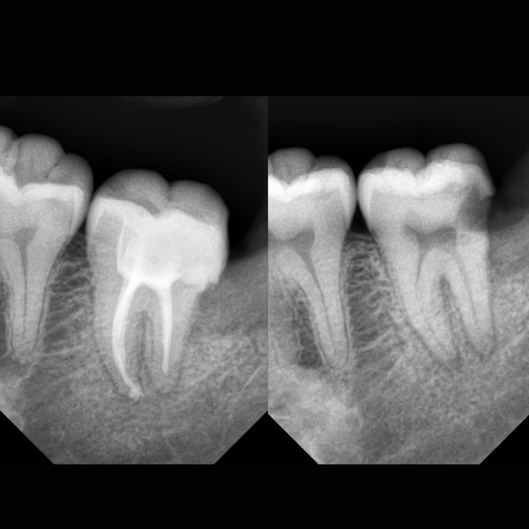
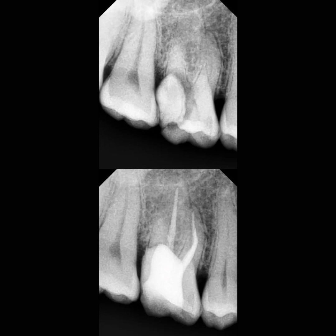
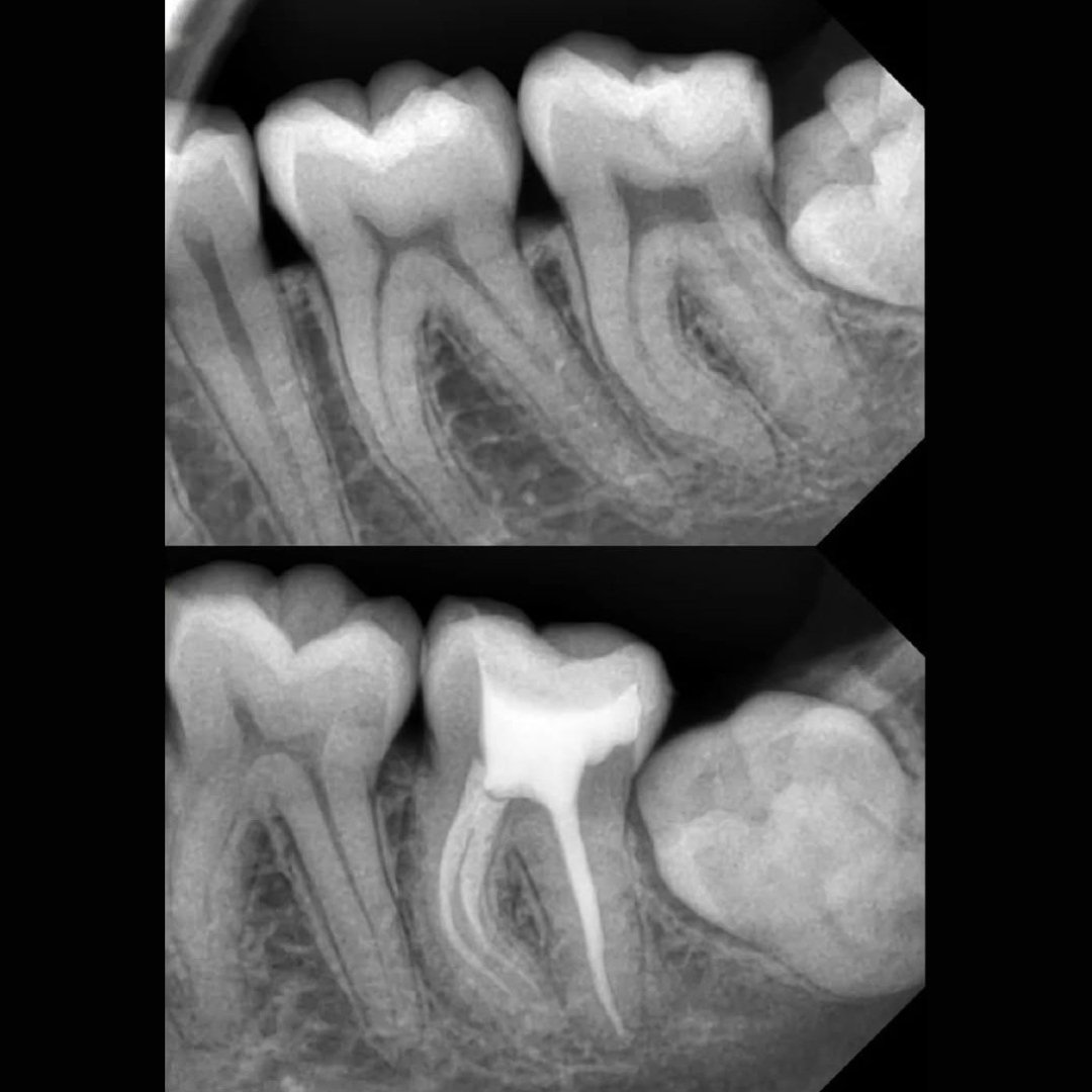
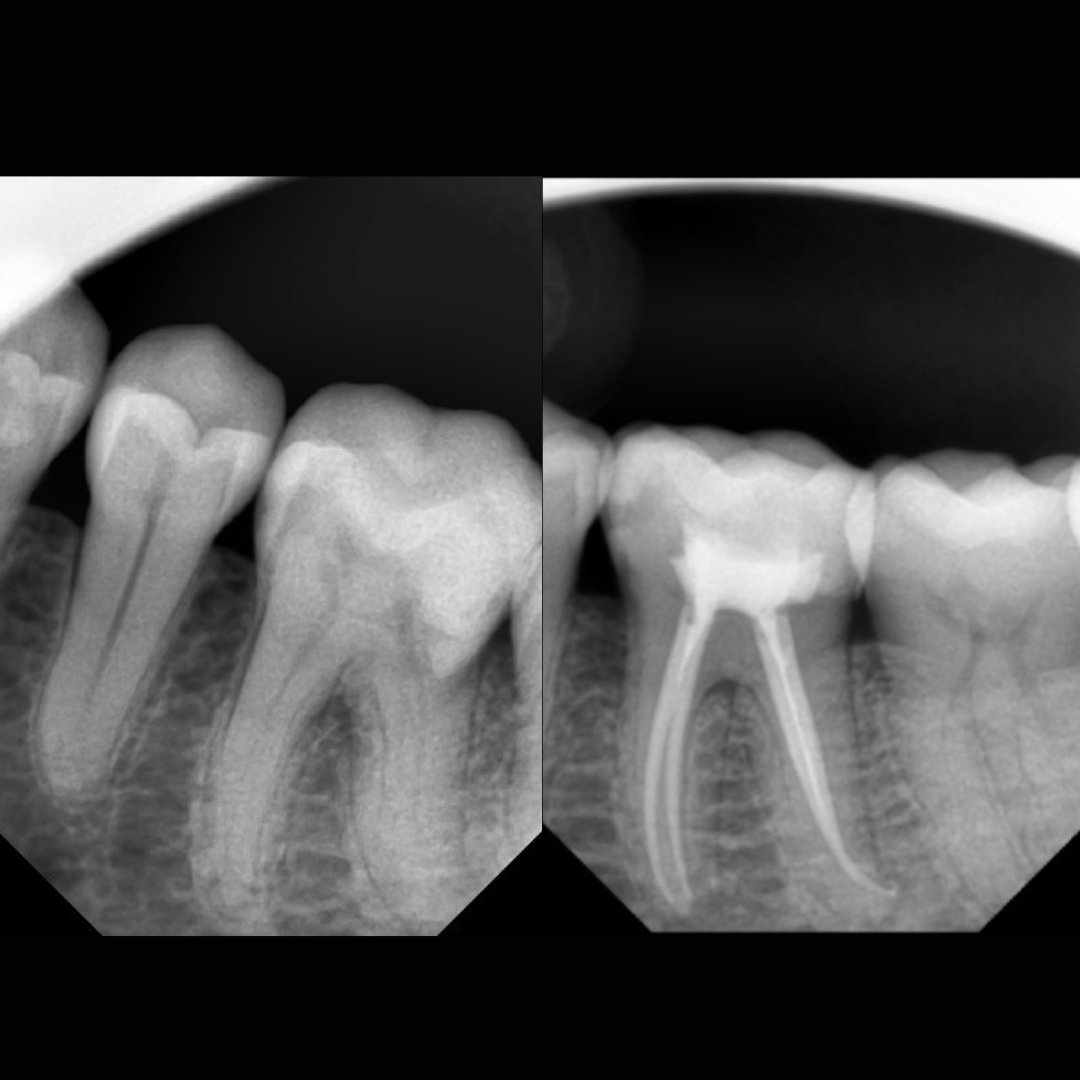
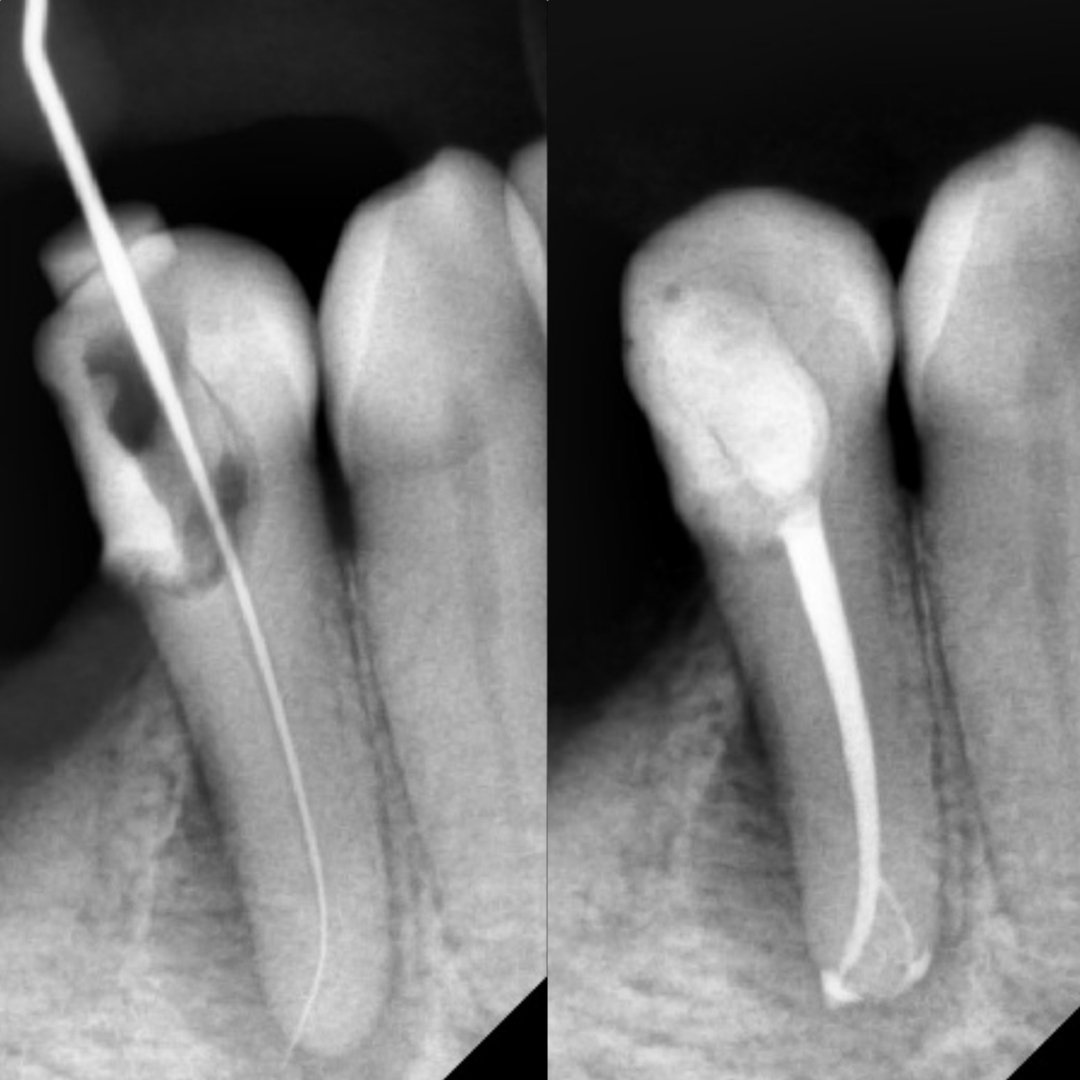
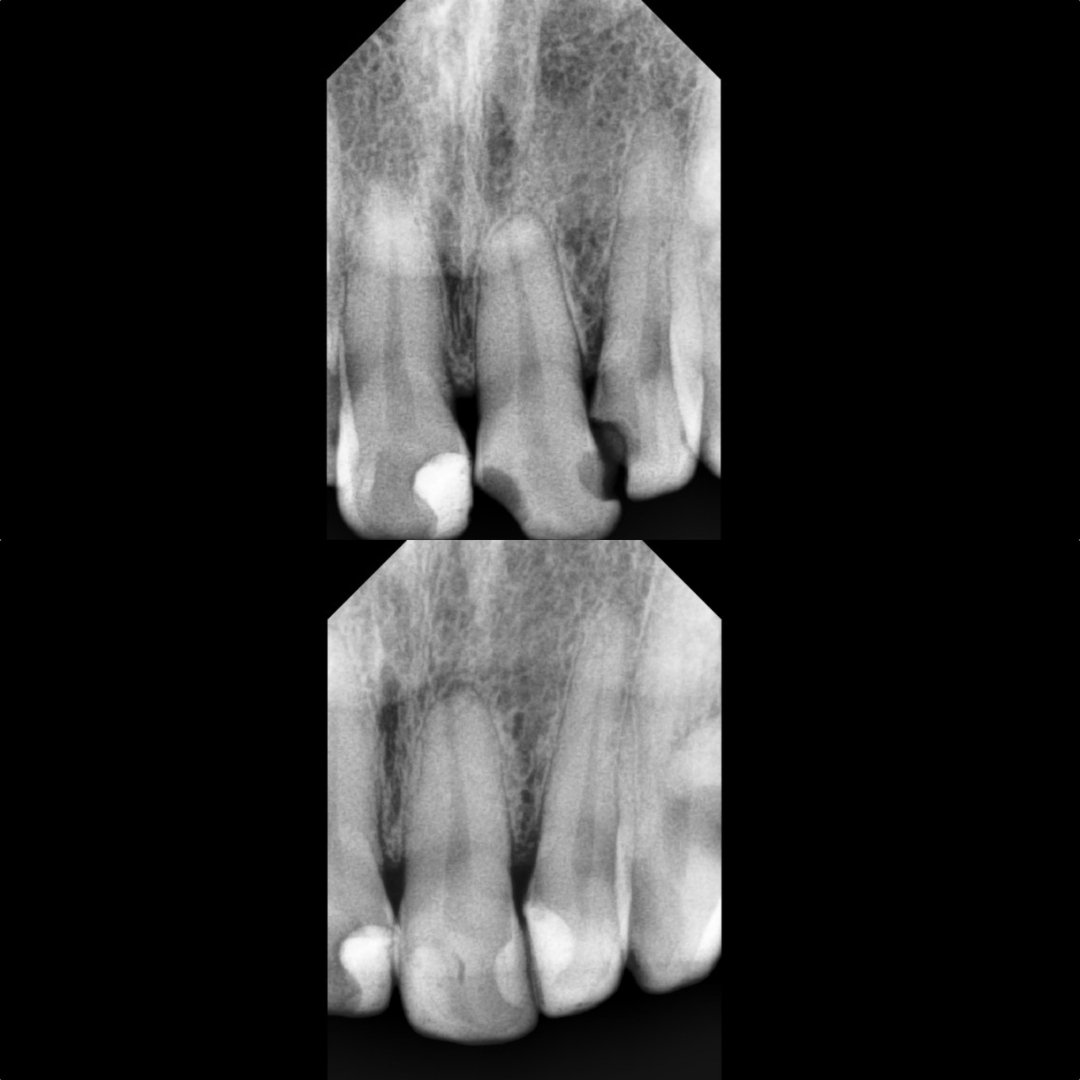
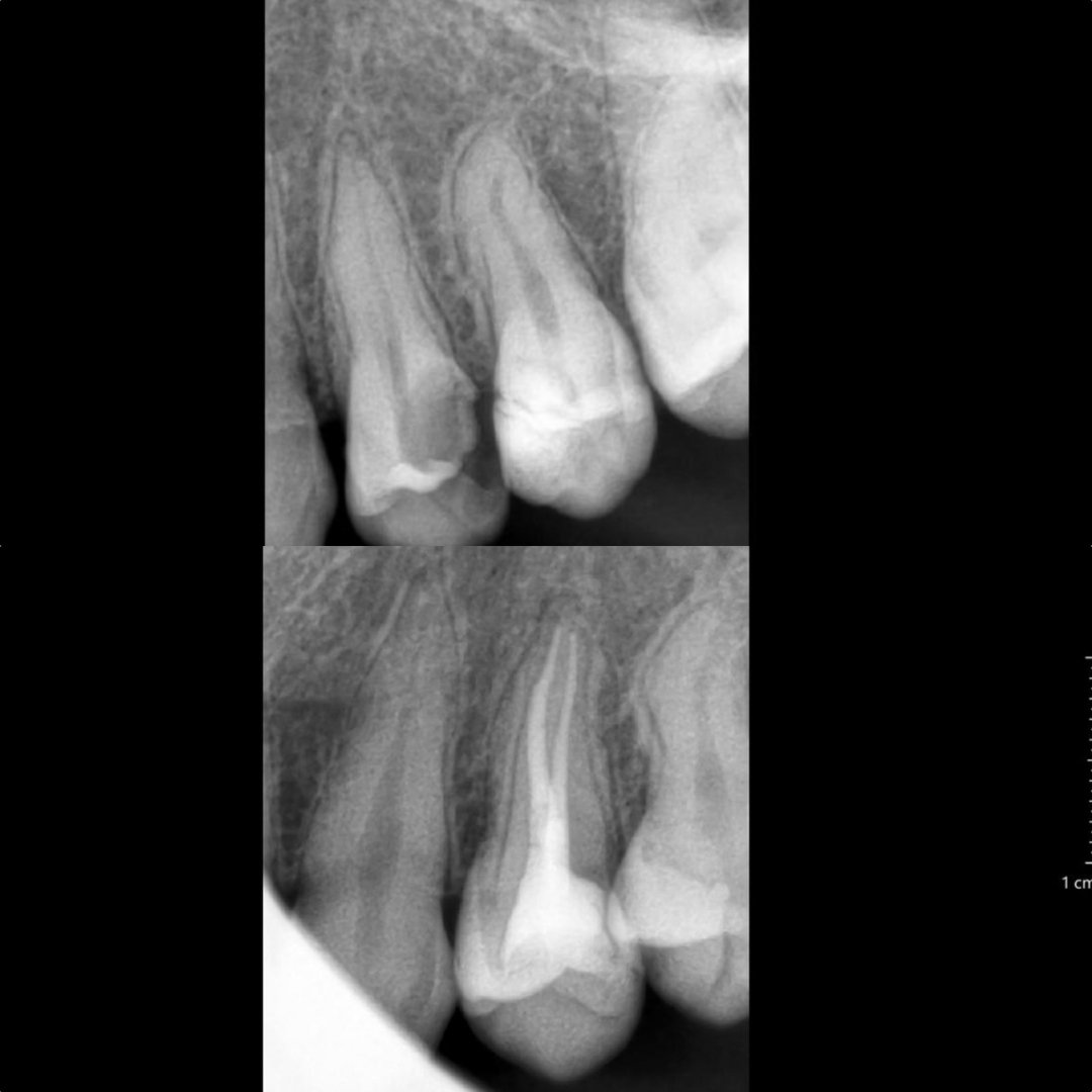
Before After Perawatan Saluran Akar (PSA) di Klinik Utama Pondok Gigi Jakarta
Transformasi nyata setelah perawatan saluran akar (PSA) di Klinik Utama Pondok Gigi Jakarta. Dari gigi rusak dan nyeri hingga kembali sehat dan berfungsi normal. Dikerjakan oleh dokter gigi profesional dengan teknik endodontik modern dan alat berteknologi tinggi untuk hasil maksimal.
Apa Kata Pasien Setelah Perawatan di Klinik Utama Pondok Gigi Jakarta
Beragam cerita kepuasan dari pasien yang telah merasakan perawatan gigi modern, nyaman, dan profesional di Klinik Terbaik Pondok Gigi Jakarta.
assha grangerTrustindex memverifikasi bahwa sumber asli ulasan adalah Google. Tempatnya bersih dan pelayanannya baik Wikan SinatrioTrustindex memverifikasi bahwa sumber asli ulasan adalah Google. Pelayanannya cepat dan tempatnya bersih Nadia KarimaTrustindex memverifikasi bahwa sumber asli ulasan adalah Google. Baik banget para dokternya, informatif, pelayanan front desknya juga oke banget vinta berlianaTrustindex memverifikasi bahwa sumber asli ulasan adalah Google. best experience with Drg Dani n team 🫶 Wartini DimanTrustindex memverifikasi bahwa sumber asli ulasan adalah Google. Dokternya baik dan ramah rafael davinTrustindex memverifikasi bahwa sumber asli ulasan adalah Google. Bagus banget scaling disini Aloysius DimasTrustindex memverifikasi bahwa sumber asli ulasan adalah Google. great experience!! Selalu cek gigi kesini dan tempatnya nyaman dan bersih JPRMI Jakarta Selatan TVTrustindex memverifikasi bahwa sumber asli ulasan adalah Google. Dr Gita ramah, overall ok Adam FirmansyahTrustindex memverifikasi bahwa sumber asli ulasan adalah Google. Pelayanan okee, bersih, akses mudah, rekomendasi untuk permasalahan gigiDiverifikasi oleh TrustindexLencana verifikasi Trustindex adalah Simbol Universal Kepercayaan. Hanya perusahaan terbaik yang dapat memperoleh lencana terverifikasi dengan skor ulasan di atas 4.5, berdasarkan ulasan pelanggan selama 12 bulan terakhir. Baca lebih lanjut
Titik Lokasi Klinik Utama Pondok Gigi Jakarta
Temukan Kami di Sini
Jl. Pangeran Antasari No.20B, RT.13/RW.2, Cipete Sel., Kec. Cilandak, Kota Jakarta Selatan, Daerah Khusus Ibukota Jakarta 12410
Ig: @pondokgigi
Wa Admin: 087777006161/081232066161
Jam Buka
| Hari | Waktu |
| Senin s/d Sabtu | 10:00 – 20:00 WIB |
| Minggu | 09:00 – 15:00 WIB |
FAQ: Pertanyaan yang Sering Diajukan Seputar PSA
Perawatan saluran akar gigi atau root canal treatment adalah prosedur medis yang bertujuan untuk menghilangkan infeksi di bagian dalam gigi (pulp) dan mencegah kerusakan lebih lanjut. Prosedur ini membantu menyelamatkan gigi agar tidak perlu dicabut.
PSA diperlukan jika gigi terasa sangat nyeri, sensitif terhadap panas atau dingin, bengkak, atau terdapat infeksi di gusi. Biasanya disarankan ketika saraf gigi sudah rusak atau terinfeksi akibat lubang gigi yang dalam.
Tidak. Dengan teknologi modern dan anestesi lokal, prosedur PSA di Klinik Utama Pondok Gigi Jakarta dilakukan dengan nyaman tanpa rasa sakit. Pasien hanya akan merasakan sedikit tekanan ringan saat proses berlangsung.
Lama waktu tergantung tingkat kerusakan gigi. Umumnya PSA selesai dalam 1–2 kali kunjungan, masing-masing sekitar 45–90 menit. Dokter akan menjelaskan perkiraan waktu sesuai kondisi gigi pasien.
Ya. Setelah PSA, struktur gigi akan diperkuat dengan filling atau crown agar fungsi dan estetika tetap terjaga. Gigi bisa digunakan kembali untuk mengunyah secara normal tanpa nyeri.
Infeksi dapat menyebar ke jaringan sekitar, menimbulkan abses, nyeri hebat, bahkan kehilangan gigi permanen. Oleh karena itu, PSA penting untuk menghentikan penyebaran infeksi sejak dini.
Ya, PSA aman dilakukan pada hampir semua pasien, termasuk yang memiliki kondisi medis tertentu, selama dilakukan oleh dokter gigi profesional dan dengan pemeriksaan awal yang menyeluruh.
Bisa, jika tidak dirawat dengan baik. Setelah PSA, pasien disarankan menjaga kebersihan gigi, rutin kontrol, dan menghindari menggigit benda keras untuk menjaga kekuatan struktur gigi.
Biaya PSA bervariasi tergantung tingkat kerusakan gigi dan jumlah saluran akar. Untuk informasi lebih lanjut, Anda bisa konsultasi langsung di Klinik Utama Pondok Gigi Jakarta agar dokter dapat memberikan estimasi yang tepat sesuai kondisi Anda.
Klinik Utama Pondok Gigi Jakarta merupakan pilihan terbaik karena ditangani oleh dokter gigi profesional, menggunakan peralatan endodontik modern, serta menawarkan suasana klinik yang nyaman dan steril dengan hasil perawatan maksimal.
Perubahan besar dimulai dari senyum kecil Anda
Setiap senyum kecil bisa membawa perubahan besar. Bersama Pondok Gigi, wujudkan senyum sehat dan percaya diri