Selamat datang di Pondok Gigi, yuk Reservasi & Konsultasi sekarang. Hanya Klik Button What's App di bawah!

"Home Of The Best Dentist"

senyum pasien setelah operasi gigi bungsu di jakarta

Apa Itu Odontektomi? Panduan Lengkap Cabut Gigi Bungsu

Banyak orang mendengar istilah odontektomi ketika menghadapi masalah gigi bungsu. Gigi bungsu sering tumbuh miring, terjepit, atau bahkan tidak muncul sempurna. Kondisi ini menimbulkan rasa nyeri, infeksi, hingga merusak gigi di sekitarnya.

Thank you for reading this post, don't forget to subscribe!

 

Di Jakarta, tindakan cabut gigi bungsu melalui odontektomi menjadi solusi yang banyak dipilih. Artikel ini menjelaskan secara detail pengertian odontektomi, indikasi, prosedur, manfaat, hingga perawatan setelah operasi.

Apa Itu Odontektomi?

Odontektomi adalah prosedur bedah gigi untuk mengangkat gigi yang sulit dicabut dengan metode biasa. Dokter gigi biasanya melakukan tindakan ini pada gigi dengan impaksi, yaitu gigi yang tumbuh sebagian atau sepenuhnya terpendam di dalam gusi maupun tulang rahang.

 

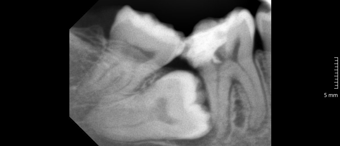
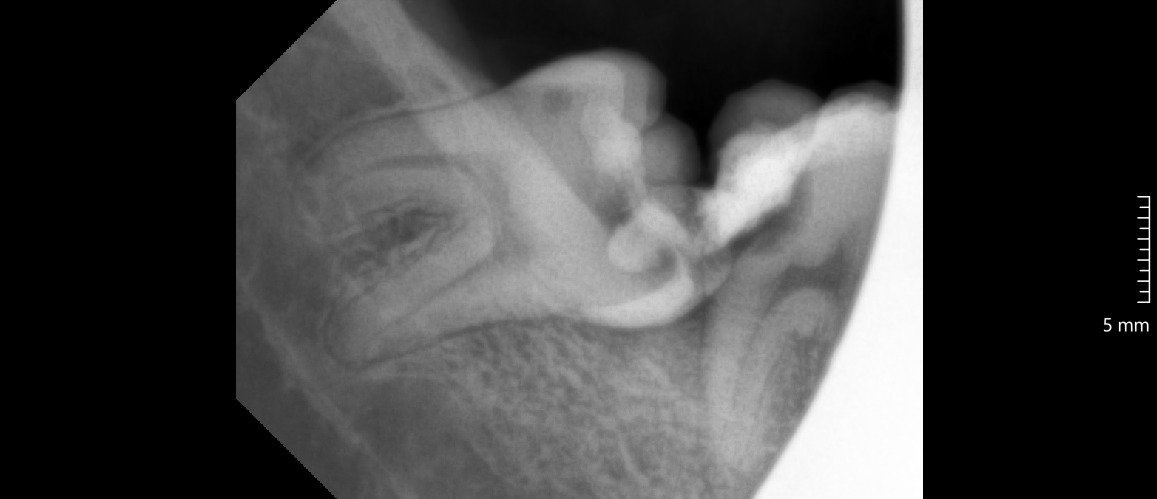
Kasus paling sering yang membutuhkan odontektomi terjadi pada gigi bungsu (molar tiga). Gigi bungsu yang tumbuh miring atau kekurangan ruang di rahang sering menimbulkan nyeri, infeksi, serta gangguan pada gigi sebelahnya.

ciri ciri impaksi gigi dan perlu operasi gigi bungsu

Kapan Odontektomi Dibutuhkan?

Pasien biasanya membutuhkan odontektomi dalam kondisi berikut:

 

  • Gigi bungsu impaksi, tumbuh tidak sempurna dan menekan gigi di sebelahnya.

  • Infeksi gusi berulang (perikoronitis) karena gigi hanya muncul sebagian.

  • Kerusakan gigi sebelahnya akibat dorongan dari gigi bungsu.

  • Kista atau tumor rahang yang berkembang di sekitar gigi bungsu.

  • Rencana ortodonti (behel) yang mengharuskan dokter menciptakan ruang tambahan pada rahang.

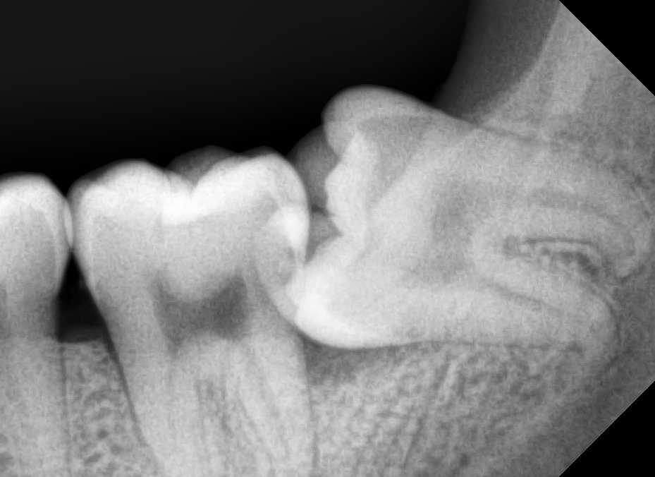
Prosedur odontektomi gigi bungsu di jakarta

Bagaimana Prosedur Odontektomi Dilakukan?

Dokter gigi bedah mulut melaksanakan odontektomi dengan beberapa langkah berikut:

 

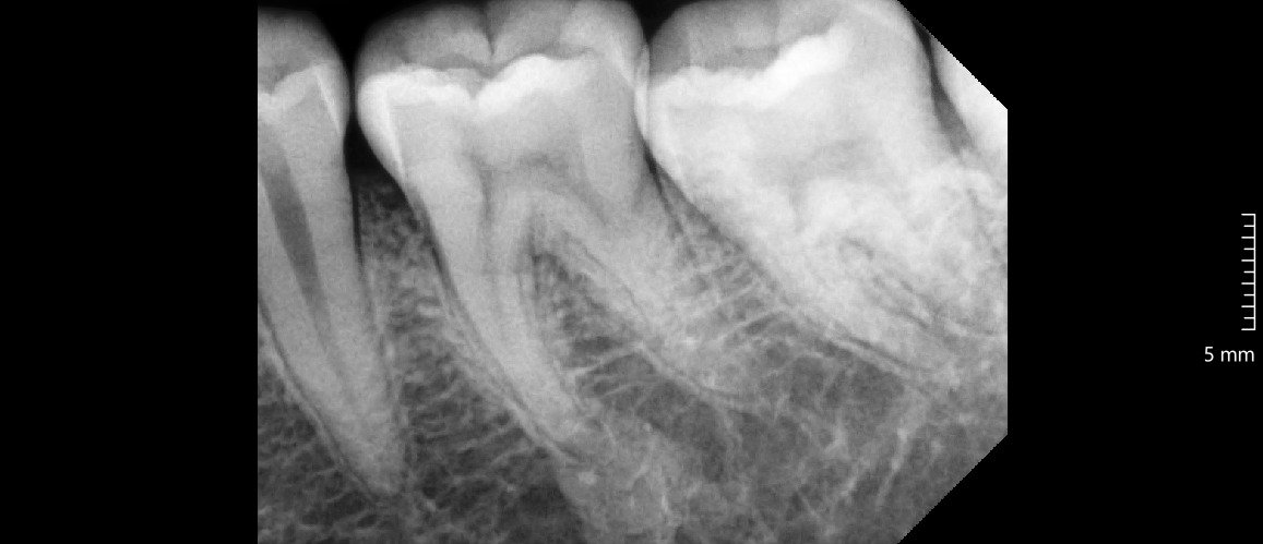
  1. Pemeriksaan awal
    Dokter melakukan rontgen panoramic untuk melihat posisi gigi bungsu dan menilai kondisi pasien.

  2. Anestesi lokal
    Pasien menerima bius lokal agar tidak merasakan nyeri selama operasi.

  3. Pembuatan sayatan
    Dokter membuat sayatan kecil pada gusi agar bisa mengakses gigi yang bermasalah.

  4. Pengangkatan gigi
    Bila gigi sulit dicabut, dokter membaginya menjadi beberapa bagian lalu mengangkat potongan satu per satu.

  5. Penutupan luka
    Dokter menutup area operasi dengan jahitan agar penyembuhan berlangsung lebih cepat.

 

Rata-rata operasi odontektomi membutuhkan waktu 30–60 menit, tergantung tingkat kesulitan gigi.

Risiko dan Efek Samping

Setelah menjalani odontektomi, pasien mungkin mengalami:

 

  • Bengkak dan rasa nyeri di area operasi.

  • Perdarahan ringan beberapa jam pertama.

  • Kesulitan membuka mulut (trismus).

  • Risiko infeksi bila pasien tidak menjaga kebersihan mulut.

 

Dengan perawatan pasca operasi yang tepat, keluhan ini biasanya membaik dalam beberapa hari.

After dari Cabut Gigi Bungsu

Perawatan Setelah Odontektomi

Agar pemulihan berjalan optimal, pasien sebaiknya mengikuti arahan dokter, antara lain:

 

  • Mengompres area pipi dengan es untuk mengurangi bengkak.

  • Mengonsumsi obat pereda nyeri dan antibiotik sesuai resep.

  • Menghindari makanan keras, pedas, atau panas selama beberapa hari.

  • Tidak merokok dan tidak minum alkohol.

  • Membersihkan mulut secara hati-hati tanpa berkumur terlalu kuat.

Perawatan Setelah Odontektomi

Bagi Anda yang mencari layanan cabut gigi bungsu Jakarta, Klinik Pondok Gigi siap membantu dengan prosedur odontektomi aman dan nyaman.

 

Klinik ini menghadirkan:

 

  • Dokter gigi spesialis bedah mulut berpengalaman.

  • Teknologi rontgen panoramic modern.

  • Perawatan pasca operasi dengan Free Interlac (probiotik) dan Free analgesic (obat nyeri) untuk kenyamanan pasien.

 

👉 Lihat layanan lengkap di Klinik Pondok Gigi Jakarta.

Rujukan Ilmiah

Odontektomi menjadi solusi efektif untuk mengatasi gigi bungsu impaksi yang sering menimbulkan masalah. Dengan tindakan ini, dokter gigi dapat membantu pasien mengurangi nyeri, mencegah infeksi, dan melindungi gigi lainnya.

Jika Anda membutuhkan cabut gigi bungsu Jakarta, Klinik Pondok Gigi hadir dengan fasilitas modern dan dokter berpengalaman.